To get the best experience while viewing this site, it is recommended that you upgrade to a modern browser version of Chrome or Firefox.

You may do so by clicking on one of these icons:


southern new mexico surgery center
 
  •  

  •  
    Health Library Explorer
    A B C D E F G H I J K L M N O P Q R S T U V W X Y Z A-Z Listings Contact Us
    Interactive Tools

    Bone X-ray

    A bone X-ray is a way to take pictures of bones. It may also be called bone radiography. In this test, a low dose of radiation is passed through the body, producing digital images of the bones or images on a piece of film.

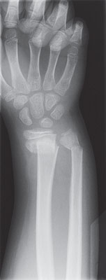
    X-ray of an arm and hand showing a broken wrist
    X-ray of a broken wrist

    Why might I need a bone X-ray?

    X-rays of bones may be taken to:

    • Find breaks or chips (fractures) in the bones.

    • Make sure that a fracture has been correctly set for healing, or make sure that a fracture has healed correctly.

    • Plan surgery on the spine and joints, or check the results of this surgery.

    • Guide surgery, such as a spinal repair or fusion, joint replacement, and fracture reduction.

    • Find foreign objects in soft tissues around or in the bones.

    • Keep track of the progress of arthritis and other bone or joint diseases.

    • Find and diagnose bone cancer.

    How do I get ready for a bone X-ray?

    • You may be asked to change into a hospital gown (depending on the area of your body being examined).

    • Tell the technologist if there is any chance that you are pregnant.

    • Remove hair clips, jewelry, dentures, and other metal items that could show up on the X-ray.

    What happens during a bone X-ray?

    You will lie, sit, or stand so that the part of your body being examined is underneath the X-ray equipment. The technologist will position you.

    • Certain parts of your body, such as your reproductive organs, may be shielded to protect them from radiation.

    • You will need to remain still while the X-rays are being taken. Pillows and foam pads may be used to help you stay in position.

    • You may be asked to hold your breath for a few seconds at a time.

    • You may need to hold several positions so that more than 1 view may be taken.

    What are the risks of a bone X-ray?

    Your health care provider can discuss the risks of X-rays with you. In most cases, the benefits of bone X-ray far outweigh the risks.

    What happens after a bone X-ray?

    The whole procedure usually takes less than 15 minutes.

    • You'll be asked to wait until the technologist has looked at the images to see if more need to be done.

    • A health care provider called a radiologist will look at the X-ray results and send a report to your provider.

    • Your health care provider will discuss the results with you when the images are ready.

    Online Medical Reviewer: Mahammad Juber MD
    Online Medical Reviewer: Marianne Fraser MSN RN
    Online Medical Reviewer: Raymond Turley Jr PA-C
    Date Last Reviewed: 1/1/2025
    © 2000-2025 The StayWell Company, LLC. All rights reserved. This information is not intended as a substitute for professional medical care. Always follow your healthcare professional's instructions.
    horizontal line

    Southern New Mexico
    Surgery Center

    2301 Indian Wells Rd. Suite B
    Alamogordo, NM 88310
    www.snmsc.org

    Phone: 575.437.0890
    Fax: 575.437.0905
    Email: info@snmsc.org

    Disclaimer